¿Quiénes somos?
PATERLINI DENTAL STUDIO
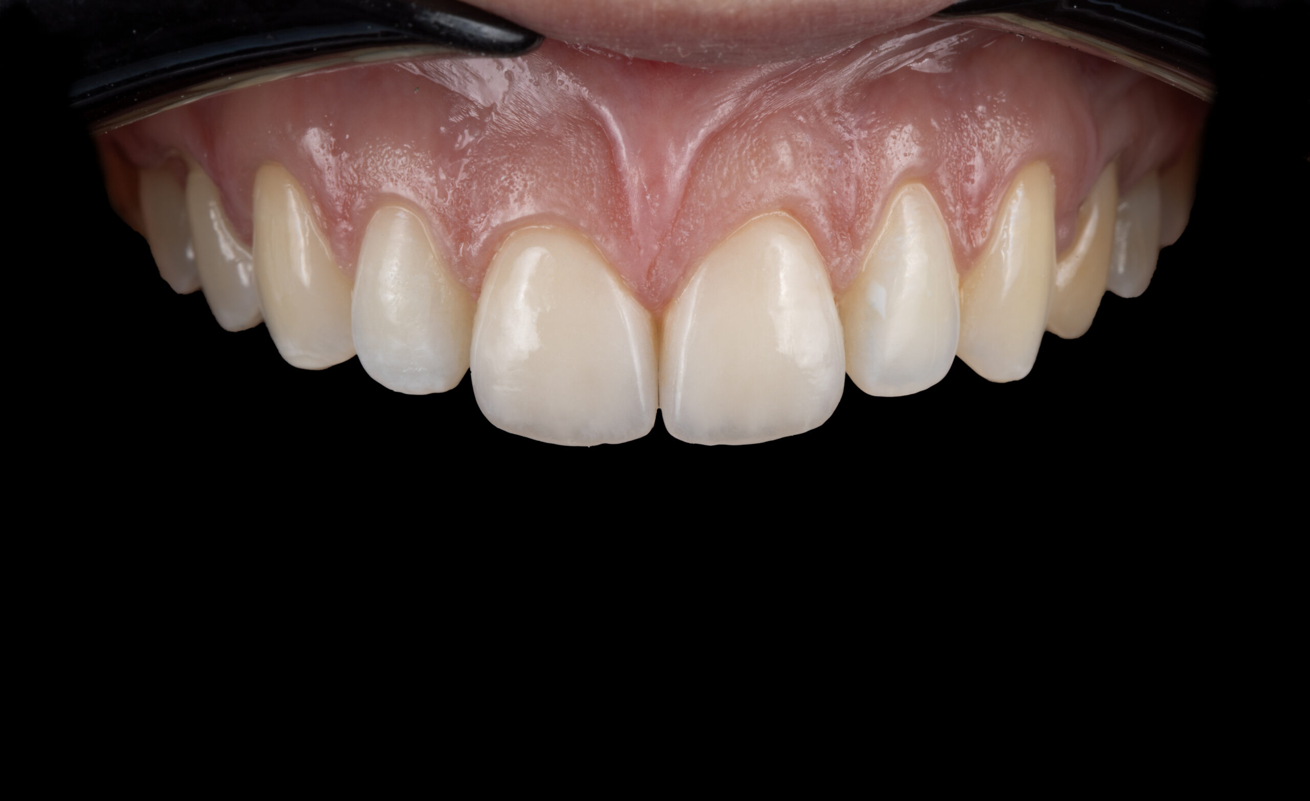
Paterlini Dental Studio
Restauración Natural
Nuestro laboratorio se caracteriza por su enfoque en la creación de restauraciones dentales que no solo restauran la funcionalidad, sino que
también aseguran un aspecto natural. Utilizamos materiales de alta calidad y tecnología CAD / CAM que nos permite fabricar coronas, puentes, carillas y “all on 4” que imitan la apariencia real de los dientes.
Producción Eficiente
Contamos con todo lo necesario para la producción y fabricación en nuestras instalaciones, evitando tiempos de externalización, siendo aún más eficientes.
Todo ello es posible a la constante inversion que realizamos, teniendo lo mejor del mercado en maquinaria como por ejemplo; nuestra segunda hija una PM5 de Ivoclar o nuestras impresoras 3D de la marca Formlabs
Cabe destacar que trabajamos con marcas reconocidas en el mercado global como GC, Matisse e Ivoclar, para garantizar resultados de la más alta calidad y estética.
Calidad Garantizada
Ambas marcas son líderes en la industria dental por ofrecer materiales innovadores, certificados y de aprobada calidad. La combinación de estas dos más la mano de Maxi hacen que los resultados obtenidos sean de un acabado estético excepcional. Todo esto ofrece a nuestros clientes una experiencia más segura y satisfactoria, sabiendo que se está trabajando con lo mejor de la tecnología y la ciencia dental disponible.